Intervenido con éxito el primer paciente con una técnica para radioembolizar tumores en Almería

Salud

El procedimiento ha sido aplicado a un enfermo con un carcinoma hepatocelular y supone “un hito en la oferta de tratamientos oncológicos avanzados en la provincia”, según los especialistas

Salud no responde en Almería

La sanidad almeriense sigue avanzando contra el cáncer; el Hospital Universitario Torrecárdenas suma a sus servicios nuevos tratamientos en el Servicio de Medicina Nuclear
La sanidad almeriense sigue avanzando contra el cáncer; el Hospital Universitario Torrecárdenas suma a sus servicios nuevos tratamientos en el Servicio de Medicina Nuclear

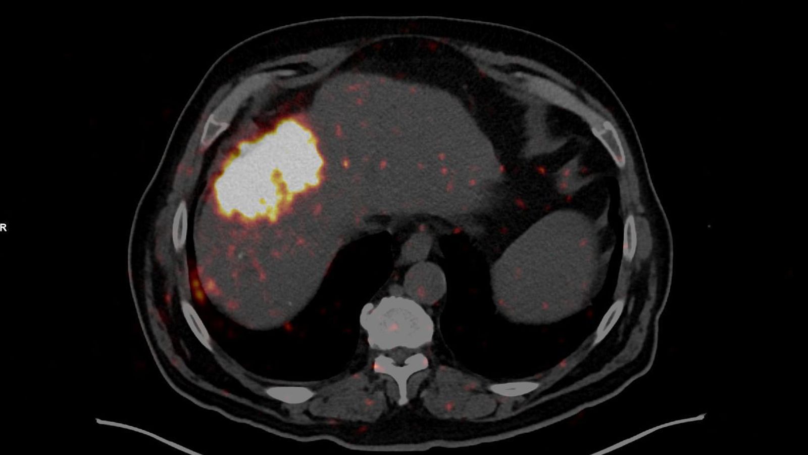
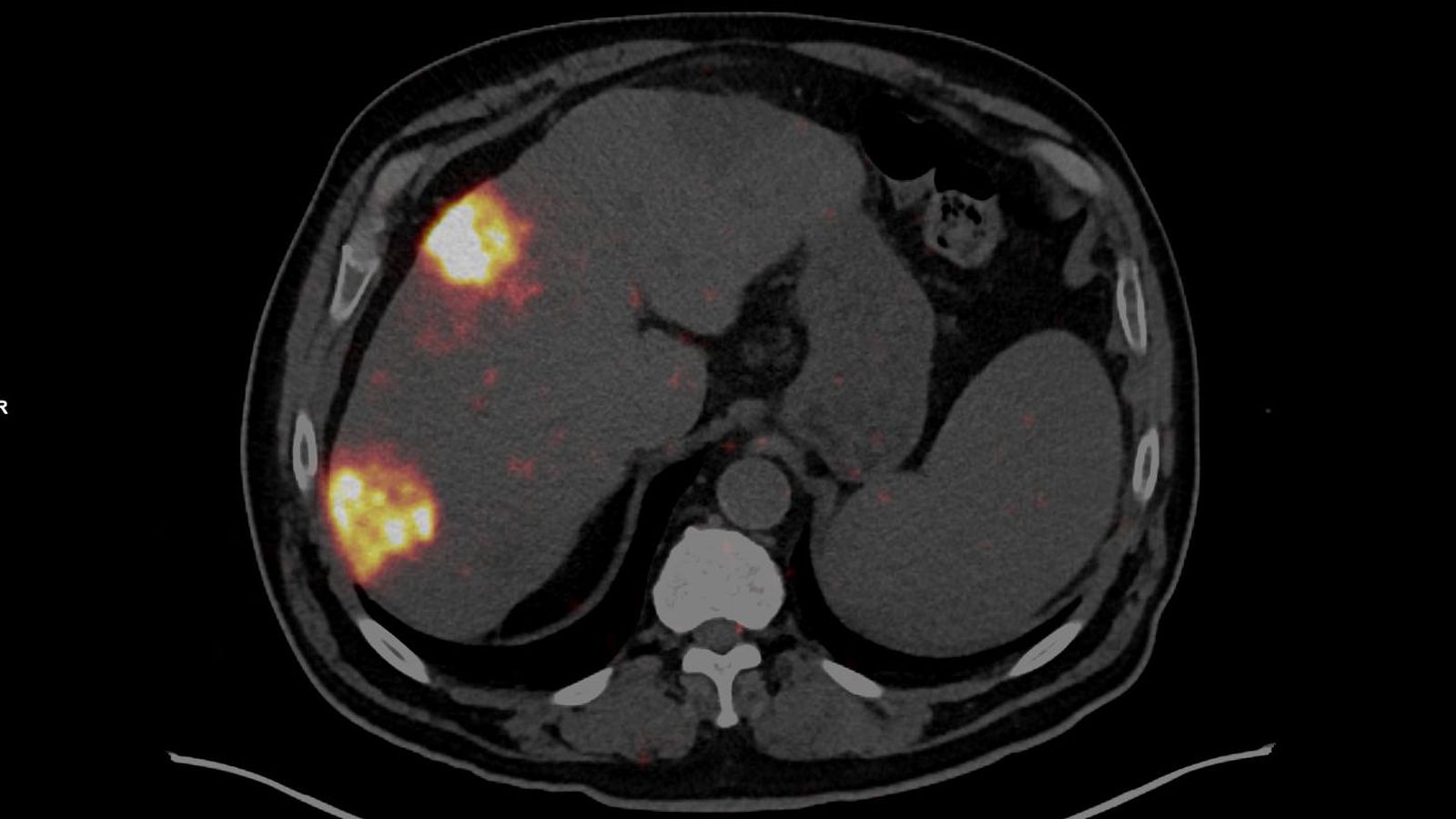
El Hospital Universitario Torrecárdenas ha llevado a cabo con éxito el primer tratamiento de radioembolización mediante microesferas muy pequeñas marcadas con Itrio-90 (isótopo radiactivo) en Almería. La intervención ha sido aplicada a un paciente con un carcinoma hepatocelular y supone un hito en la oferta de tratamientos oncológicos avanzados en la provincia.

Como han explicado desde el Servivio de Medicina Nuclear del hospital de referencia, el procedimiento ha sido el resultado de abordaje integral y coordinado entre diferentes especialidades, destacando la labor conjunta del Servicio de Medicina Nuclear y el Servicio de Radiología Vascular e Intervencionista. El jefe de Medicina Nuclear, Manuel Guerrero, explica que “el objetivo es administrar una dosis de alta radiación beta, de corto alcance (unos 2 a 4 milímetros) por la arteria hepática hacia el tumor y preservar el tejido sano circundante al tumor”. La radioembolización es un tratamiento médico que consiste en una oclusión deliberada, controlada y terapéutica de un determinado vaso sanguíneo. Las microesferas quedan atrapadas dentro del tumor y se persigue que durante unos días radie selectivamente el tejido tumoral destruyéndolo o al menos controlando su crecimiento. Es una radioactividad muy local y selectiva que se tolera muy bien y no impide al paciente estar en contacto con otras personas ni altera de manera significativa su vida diaria.

Terapia intervencionista para tratar un carcinoma hepatocelular
Terapia intervencionista para tratar un carcinoma hepatocelular
Terapia intervencionista para tratar un carcinoma hepatocelular
Terapia intervencionista para tratar un carcinoma hepatocelular

La técnica que se ha aplicado por primera vez a un paciente en el Hospital Universitario Torrecárdenas “ha demostrado muy buenos resultados terapéuticos y escasos efectos secundarios”, como ha avanzado Guerrero. Con esta intervención, el centro hospitalario de referencia en la provincia refuerza su compromiso con la innovación y la excelencia en terapia metabólica, ofreciendo a los pacientes de la provincia de Almería acceso a terapias de última generación.

Desde la dirección del hospital valoran “de manera muy positiva” este nuevo avance que se pone a disposición de los almerienses y advierten que “se sigue trabajando para poder contar con todas las últimas técnicas que beneficien a a los enfermos, todo gracias a la labor de los profesionales del centro de referencia de la provincia”.

Beneficiará a unos 50 pacientes al año

Según han explicado a Diario de Almería desde el propio Hospital Universitario Torrecárdenas, el primer paciente que ha sido intervenido en la provincia con esta novedosa técnica padece un tumor poco frecuente, que se origina en las células del hígado, y que hasta ahora era difícil de tratar. La introducción de nuevo tratamiento de última generación, que ya está en la cartera del Servicio de Medicina Nuclear, podrían beneficiar a unos cuarenta o cincuenta pacientes al año, con perspectivas de que aumenten las indicaciones.

La sanidad de Almería avanza contra el cáncer

La radioembolización combina la embolización con la radioterapia. Este tratamiento se realiza al inyectar en la arteria hepática unas pequeñas esferas radiactivas (microesferas) que tienen un isótopo radiactivo (itrio-90) adherido. Una vez inyectadas, las esferas se alojan en los vasos sanguíneos cercanos al tumor donde emiten pequeñas cantidades de radiación hacia el lugar donde está el tumor por varios días. La radiación se desplaza a una distancia muy corta de modo que sus efectos son limitados principalmente al tumor. La intervención del primer paciente en Almería ha resultado un “éxito”, como ha valorado el Servicio de Medicina Nuclear.

stats